Cuidamos do seu sorriso com ética, tecnologia e atenção personalizada.

Sobre Nós

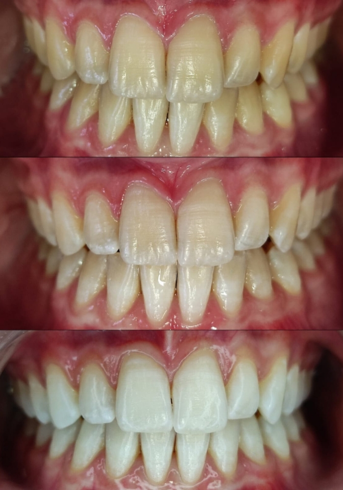
No Consultório Odontológico Dr. Maicon Cabral, acreditamos que um sorriso saudável transforma não apenas a estética, mas também a autoestima e a qualidade de vida.
Nossa missão é oferecer tratamentos odontológicos de excelência, em um ambiente acolhedor e seguro, utilizando técnicas modernas e equipamentos de alta tecnologia.

Reconhecimento e Excelência

Orgulhosamente, fomos eleitos o Melhor Dentista de Pindamonhangaba nos anos de 2022, 2023, 2024 e 2025, um reconhecimento que reforça nosso compromisso com a qualidade, a ética e a satisfação dos pacientes.

Contamos com uma equipe multidisciplinar formada por profissionais experientes e especializados nas mais diversas áreas da odontologia, garantindo um atendimento completo para toda a família.

Nosso compromisso é proporcionar uma experiência positiva em cada atendimento, sempre prezando pelo bem-estar e pela confiança de nossos pacientes.

Nossa missão

Proporcionar saúde bucal, estética e bem-estar com qualidade, ética e respeito.

Nossa visão

Ser referência em tratamentos odontológicos humanizados e de alta tecnologia na região.

Nossos valores

  • Ética profissional

  • Atendimento humanizado

  • Inovação e tecnologia

  • Respeito e transparência

  • Compromisso com resultados

Nossa equipe está pronta para cuidar do seu sorriso com dedicação, tecnologia e atendimento humanizado.

Brighten your smile with SmileOn!

Enjoy a FREE Consultation on your first visit! Let our expert team help you achieve a healthier, more confident smile.

Advanced Dental Care
Comfortable and Stress-Free
Personalized Treatment Plans